این دختربچه عجیب با ۱۲ سانت دم به دنیا آمده است! + عکس باورنکردنی
تولد یک نوزاد با دوازده سانتی متر دم همراه با پوست و مو موجب تعجب پزشکان شده است.
به گزارش 9صبح،یک نوزاد دختر که از طریق زایمان سزارین با دمی ۱۲ سانتیمتری پوشیده از مو و پوست به دنیا آمد موجب تعجب پزشکان مکزیکی شد.
پزشکان در مکزیک در یک مورد پزشکی بسیار نادر، هنگامی که یک نوزاد دختر از طریق زایمان سزارین با دمی ۱۲ سانتیمتری پوشیده از مو و پوست به دنیا آمد، شوکه شدند. آنها با موفقیت دم را از این نوزاد خارج کردند. تصور میشود که این عارضه که «دم واقعی» نامیده میشود، بسیار نادر باشد.
این نوزاد در یک بیمارستان روستایی در شمال شرقی مکزیک از طریق سزارین به دنیا آمد. بر اساس یک مطالعه موردی در مجله جراحی کودکان، این نوزاد سابقه قبلی قرار گرفتن در معرض اشعه یا عفونت در دوران بارداری نداشت و از دو والدین سالم در اواخر دهه ۲۰ زندگیشان به دنیا آمد.
طول این زائده استوانه ای شکل ۱۲.۷ سانتیمتر و قطر آن بین ۳ تا ۵ میلیمتر در تمام طول آن است. پزشکان اشاره کردند که ساختار دم-مانند با مو و پوست پوشیده شده بود و نوزاد هنگام نیشگون گرفتن زائده گریه میکرد.
آنها سپس اشعه ایکس لومبوساکرال را انجام دادند – یک آزمایش تصویربرداری که به پزشک کمک میکند آناتومی گودی کمر را مشاهده کند – اما هیچ شواهدی از ناهنجاری یا ساختار استخوانی در داخل دم پیدا نکردند.

این بدان معنی است که این دم یک دم بدون عملکرد به معنای زائده نیست، که در طول زمان هرگونه کارکرد خود را در بدن را از دست داده باشد، بلکه یک دم واقعی است – یک ساختار خوش خیم متشکل از بافت همبند، ماهیچه و اعصاب.
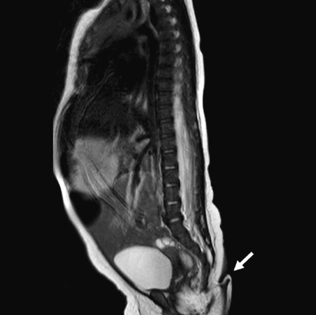
متخصصان پزشکی برای طیف وسیعی از مشکلات پزشکی آزمایش انجام دادند و مشخص شد که هیچکدام از آنها وجود ندارد. اسکن MRI نیز هیچ ناهنجاری مغزی را نشان نداد و برای ناهنجاری های ستون فقرات نیز نتیجه منفی بود.
هنگامی که پزشکان مشکلات ستون فقرات را رد کردند، نوزاد دختر وقتی به دو ماهگی رسید دوباره توسط یک تیم اطفال و جراحی عمومی مورد ارزیابی قرار گرفت.

وقتی پزشکان از افزایش وزن و رشد کافی برای سن او به رضایت رسیدند، طول ساختار دم ۰.۸ سانتی متر افزایش یافته بود و هیچ شواهدی از ضایعات پوستی وجود نداشت. درنهایت تصمیم به برداشتن دم و بازسازی ناحیه توسط جراحی پلاستیک لیمبرگ گرفته شد – جایی که یک برش الماسی شکل برای برداشتن پوست آسیب دیده و بافت زیرین ایجاد میشود.
پس از مرخص شدن این کودک تا کنون هیچ عارضه ای گزارش نشده است.
طبق این ژورنال وجود دم در انسان بسیار نادر است. در آخرین بررسی توسط توجیما و یامادا در سال ۲۰۲۰، که گزارش های موردی را به زبان های انگلیسی، فرانسوی، ژاپنی، ایتالیایی و آلمانی جمع آوری کرده است، تنها ۱۹۵ مورد انسان با دم واقعی تا سال ۲۰۱۷ شناسایی شدهاند.
نظر شما